
Những tổn thương phổi ở giai đoạn cấp của bệnh COVID-19 có thể tiến triển mạn tính, gây ho, khó thở kéo dài... sau COVID. Nguyên nhân là tình trạng xơ phổi, giãn phế quản, bệnh lý mạch máu phổi. Trong đó, xơ phổi hậu COVID là nổi bật nhất.
Theo nhiều báo cáo từ châu Á sang châu Âu thì ở giai đoạn nhiễm trùng cấp, có đến 14% bệnh nhân nhiễm COVID-19 bị viêm phổi nặng phải nhập viện, 5% bị hội chứng nguy kịch suy hô hấp cấp tính (ARDS) cần thở máy và điều trị ở đơn vị chăm sóc tích cực. Và ARDS cũng là nguyên nhân chính gây tử vong trong giai đoạn cấp. Những thống kê này cho thấy tổn thương phổi là vấn đề trọng yếu của bệnh COVID-19.
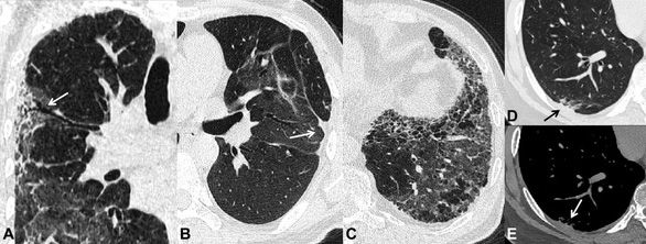
Những di chứng sau viêm phổi do SARS-CoV-2 được ghi nhận trên phim CT scan ngực sau 6 tháng theo dõi. A-giãn phế quản co kéo (mũi tên). B- xẹp phổi dạng đường (mũi tên). C- xơ phổi dạng tổ ong. D và E- dày màng phổi tạng (mũi tên)

Xơ phổi hậu COVID có thể hiểu nôm na là tình trạng nhu mô phổi bị phá hủy trong giai đoạn cấp tính sẽ không thể phục hồi trạng thái nhu mô phổi bình thường, mà thay bằng những mô xơ (đặc biệt ở bệnh nhân bị viêm phổi nặng và ARDS).
Những tổ chức xơ này không thực hiện được chức năng trao đổi khí CO2 và O2 ở phổi, dẫn đến tình trạng khó thở, đặc biệt là khó thở khi vận động thể lực.
Tình trạng xơ hóa này có thể được nhìn thấy trên mô bệnh học qua sinh thiết phổi hoặc hình ảnh xơ trên phim CT scan. Đi kèm với nó là tình trạng giảm thể tích phổi và giảm độ khuếch tán của phổi qua các thăm dò chức năng hô hấp.

Tỉ lệ bệnh nhân có hình ảnh xơ hóa (giai đoạn sớm) trên CT scan khoảng 70-80% bệnh nhân viêm phổi trung bình và 100% bệnh nhân ARDS ở tại thời điểm xuất viện (khoảng 4 tuần sau khởi phát).
Nhưng tình trạng trên sẽ giảm dần theo thời gian. Sau 3 tháng, hình ảnh tổn thương xơ trên CT scan còn khoảng 50% bệnh nhân viêm phổi trung bình và 70% bệnh nhân nặng. Sau 6 tháng, tỉ lệ này là khoảng 30%.
Chưa có những báo cáo theo dõi bệnh nhân lâu hơn 6 tháng được ghi nhận. Dựa trên kinh nghiệm của xơ phổi sau SARS và MERS thì hầu hết bệnh nhân sẽ hồi phục sau 24-36 tháng. Tuy nhiên vẫn còn khoảng 20% bệnh nhân xơ phổi tiến triển nặng hơn sau 5-10 năm, tỉ lệ này là 2-6% ở bệnh nhân viêm phổi mức độ trung bình (giai đoạn cấp).
Hình ảnh tổn thương xơ hóa giai đoạn sớm và giảm chức năng phổi có thể xuất hiện ở mọi bệnh nhân bị viêm phổi do SARS-CoV-2. Những bệnh nhân có nguy cơ mắc xơ phổi lâu dài sau COVID gồm:
- Viêm phổi nặng ở đợt bệnh COVID-19 cấp, đặc biệt là bệnh nhân ARDS;
- Bệnh nhân thở máy áp lực dương, cần điều trị ECMO, thời gian nằm viện lâu dài;
- Bệnh nhân nặng, nồng độ các cytokines tiền viêm trong máu cao;
- Bệnh nhân có tổn thương phổi sẵn có, lớn tuổi, hút thuốc lá.

Nhẹ thì ho khan kéo dài, khó thở khi vận động gắng sức, nặng hơn, bệnh nhân có thể khó thở ngay cả khi nghỉ ngơi, cản trở mọi sinh hoạt đời sống thường ngày.
Trên phim chụp CT scan ngực, hình ảnh xơ hóa phổi biểu hiện dưới nhiều dạng và mức độ như: hình ảnh dải xơ, dày các vách liên tiểu thùy, hình ảnh lưới, giãn phế quản co kéo và điển hình nhất là hình ảnh tổ ong
Trong thăm dò chức năng hô hấp: bệnh nhân có giảm thể tích phổi ở nhiều mức độ, giảm độ khuếch tán khí ở phổi khi đo DLCO.
Ở những bệnh nhân được làm sinh thiết phổi, sẽ thấy hình ảnh tăng sinh tế bào tạo sợi và lắng đọng collagen trên mô bệnh học.
Kinh nghiệm từ đợt dịch SARS và MERS trước đây (cũng do virus Corona gây ra) thì đa số bệnh nhân sẽ hồi phục dần sau 2-3 năm.
Tuy nhiên, vẫn có một số bệnh nhân diễn tiến xơ phổi vẫn tiếp tục sau đó, hầu hết là tổn thương xơ hóa nặng.
Khi đó, bệnh lý xơ phổi hậu nhiễm virus Corona này thực sự là một gánh nặng cho bệnh nhân cũng như cho hệ thống y tế: giảm chất lượng cuộc sống do tình trạng tàn phế, tăng nguy cơ nhập viện, giảm tuổi thọ và tăng chi phí điều trị đáng kể.

Tất cả những bệnh nhân từng mắc viêm phổi do COVID-19 đều nên được khám sàng lọc di chứng phổi hậu COVID, đặc biệt là những bệnh nhân nguy cơ rất cao như: viêm phổi nặng, ARDS, từng thở máy, điều trị ECMO, lớn tuổi, có bệnh nền phổi từ trước… nên được đánh giá xơ phổi hậu COVID.
Những bệnh nhân này sẽ được khám và hỏi bệnh sử cẩn thận, làm các bài test vận động. Sau đó, bệnh nhân sẽ được thực hiện các cận lâm sàng cần thiết tùy từng trường hợp cụ thể.
Những cận lâm sàng có thể được đề nghị gồm: chụp CT scan ngực với độ phân giải cao, đo chức năng hô hấp: thăm dò thể tích phổi và độ khuếch tán khí của phổi, xét nghiệm máu, một số trường hợp có thể phải sinh thiết phổi để chẩn đoán.
Ngoài ra, bệnh nhân cần được tầm soát những bệnh lý khác gây khó thở như suy tim, tăng áp phổi, nhiễm trùng hô hấp tái phát… - là những biến chứng có thể gặp hậu COVID. Việc tiếp cận toàn diện này giúp không bỏ sót chẩn đoán và điều trị tối ưu tình trạng khó thở cho bệnh nhân.

Dịch vụ kiểm tra sức khỏe theo yêu cầu là dịch vụ y khoa chuyên sâu mà eDoctor kết hợp Bernard Healthcare dành riêng cho những khách hàng có nhu cầu kiểm tra sức khoẻ sau mùa dịch với 3 gói dịch vụ:
- Gói Hô hấp
- Gói Tầm soát biến chứng mạch máu
- Gói Nâng cao toàn diện
Nhằm đánh giá chức năng và chẩn đoán bệnh lý liên quan đến phổi, gan, thận, tim mạch; kiểm tra tình trạng viêm và đông máu; giúp phát hiện sớm nguy cơ và có kế hoạch điều trị phù hợp, dự phòng các nguy cơ có thể xảy ra trong tương lai.
- Nguy cơ xuất hiện huyết khối (cục máu đông) do tình trạng tăng đông, gây hạn chế máu lưu thông, tắc nghẽn mạch, dẫn đến các biến chứng âm thầm, cực kỳ nghiêm trọng như nhồi máu cơ tim, đột quỵ, thuyên tắc phổi
- Nguy cơ suy tim, suy gan, suy thận do các cơ quan này bị tổn thương, viêm mô tế bào…
- Bên cạnh đó là các tổn thương thần kinh, gây suy nhược, trầm cảm, rối loạn giấc ngủ, sang chấn tâm lý…

Đánh giá, tiên lượng tổn thương phổi, mạch máu và các vấn đề sức khỏe với kỹ thuật cận lâm sàng chuyên sâu như:
- Chụp CT ngực liều thấp (không cản quang): giúp đánh giá tổn thương nhu mô phổi và đường dẫn khí
- Đo chức năng hô hấp đánh giá hội chứng tắc nghẽn và hạn chế đường hô hấp
- Siêu âm Doppler mạch máu chi dưới tầm soát huyết khối tĩnh mạch sâu
- Đo ABI, TBI đánh giá sớm tắc hẹp mạch máu chi dưới
- Định lượng D-dimer, Fibrinogen đánh giá chức năng đông máu
Các bác sĩ chuyên gia Nội tổng quát, Tim mạch, Hô hấp, Thần kinh trực tiếp khám và tư vấn điều trị
Hội chẩn đa chuyên khoa chuyên sâu khi phát hiện bất thường

- Hội đồng Cố vấn Y khoa Bernard Healthcare
- Đội ngũ bác sĩ chuyên môn cao, giàu kinh nghiệm
Hồ sơ sức khỏe được số hoá, bảo mật và khách hàng có thể đăng nhập để xem lại kết quả bất kỳ lúc nào trên ứng dụng eDoctor, đảm bảo lịch sử khám chữa bệnh/thăm khám, các chẩn đoán hình ảnh, xét nghiệm được lưu trữ và xem lại qua thời gian nhằm giúp bác sĩ theo dõi chăm sóc bệnh nhân trọn đời.
ĐĂNG KÝ TẦM SOÁT HẬU COVID ĐỂ NHẬN ƯU ĐÃI
Nguồn: Báo Tuổi trẻ